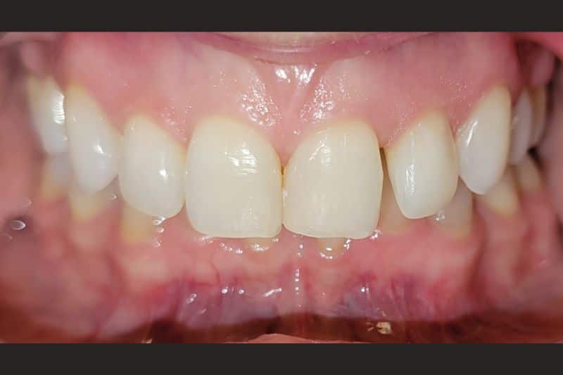
At our Cobb County dental practice in Marietta, GA, we believe the most powerful way to understand what modern dentistry can achieve is to see real results. Our Smile Gallery showcases authentic before-and-after photos from patients who turned to us for routine oral care, enhancements that refine the appearance of their smile, and solutions that rebuild strength, balance, and function. From advanced tooth replacement and improvements for jaw and bite discomfort to therapies that support restful sleep and care designed for those who feel anxious in the dental chair, these images reflect the meaningful changes our patients experience. Each transformation highlights the personalized approach we take—and the remarkable outcomes that come from skill, precision, and compassionate care.




















