Skip to content
MARIETTA OFFICE -
(770) 578-1331
Home
About
Meet Our Dentist
Meet Our Team
Testimonials
Services
Cosmetic Dentistry
Dental Implants
TMJ Treatment
Sleep Apnea Treatment
General Dentistry
Sedation Dentistry
View All Services
New Patients
Patient Forms
Financing Options
Patient Profiles
Patient Education
Smile Gallery
Contact
Doctor Referrals
(770) 578-1331
Call Today!
REQUEST APPOINTMENT
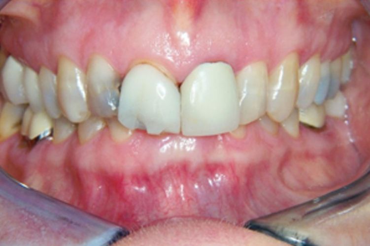
Veneers
Veneers
Veneers
This patient received veneers. Now, their smile is radiant.
Before
After
Previous
Next
Page load link
Go to Top