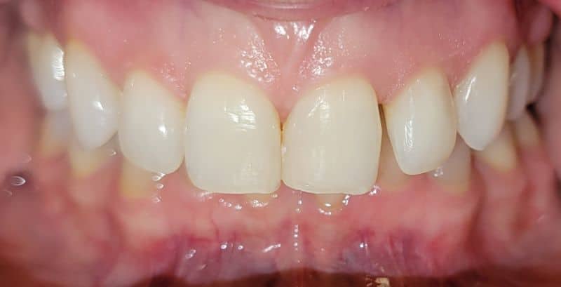
Orthodontics and Bite Correction

We realigned this patient’s smile through a combination of neuromuscular bite correction and orthodontic treatment.

Before

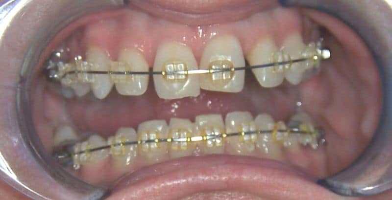
A patient's teeth while being treated with metal braces/orthdontics

After

A patient's smile after having undergone neuromuscular bite correction and orthodontics.