Dentures

Completed upper and lower dentures.

Before

Close-up of a person's mouth showing a set of dental crowns or veneers.

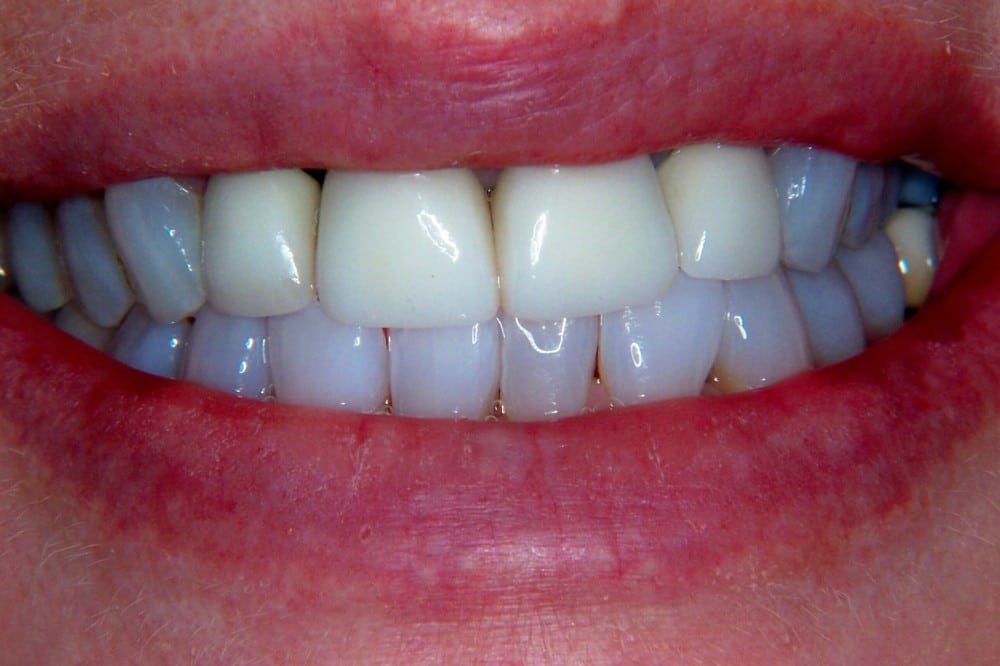
After

Close-up of a person's mouth showing a smile with white dental crowns or veneers, with a smooth and glossy appearance.