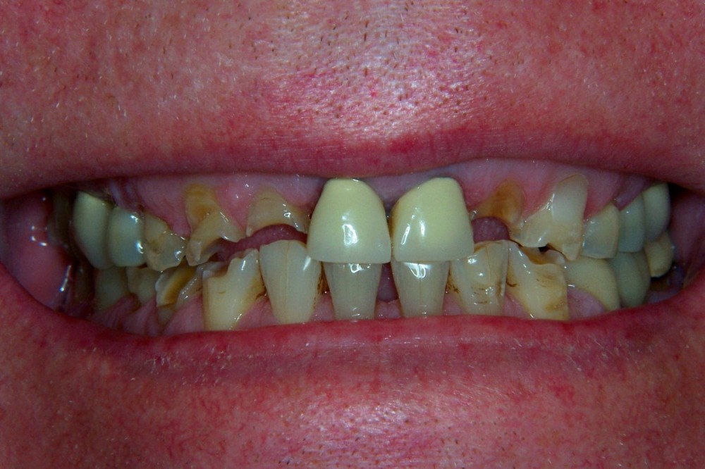
Full Mouth Reconstruction

Completed a full mouth reconstruction with dental crowns.

Before

Close-up of a person's mouth showing severely decayed, discolored, and damaged teeth, with two visible dental crowns on the front teeth.

After

Close-up of a person's mouth showing a smile with white dental crowns or veneers. The surrounding skin appears red and flushed.