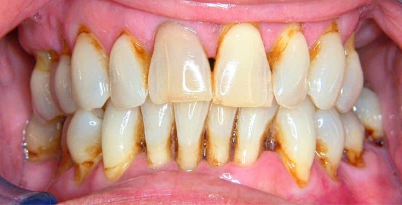
All-on-XAll-on-XWe treated this patient with an All-On-X retained denture, providing a brand new, full arch of teeth.BeforeAfterPreviousNext