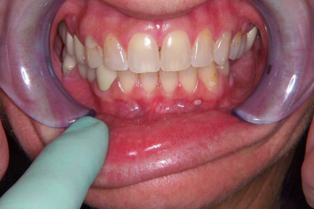
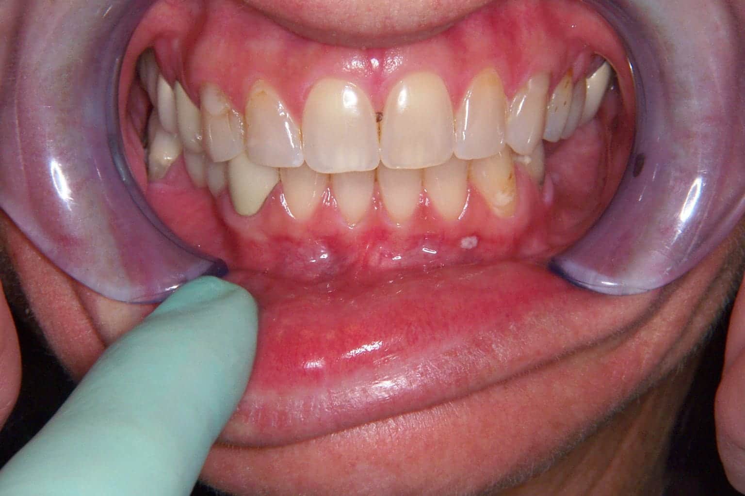
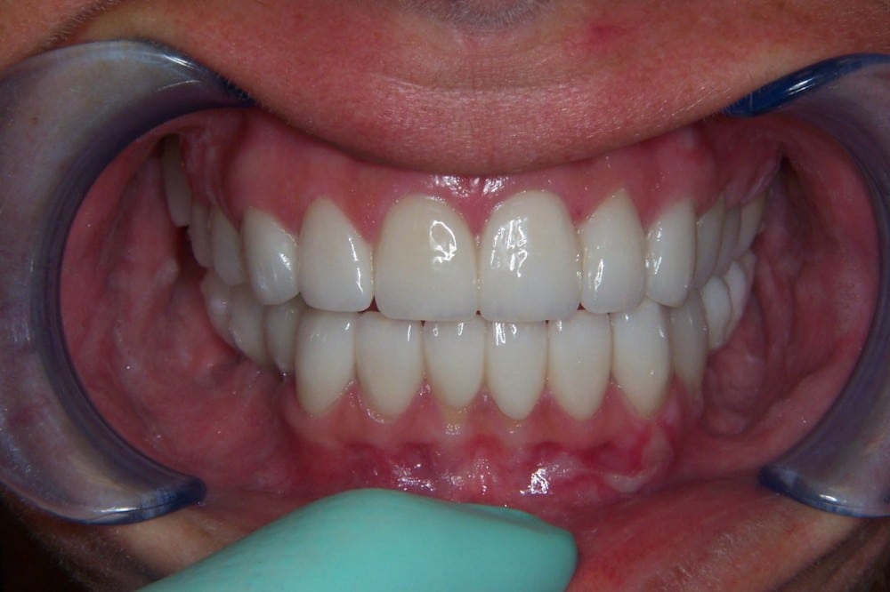
Full Mouth Reconstruction

Completed a full mouth reconstruction with a combination of veneers, dental crowns and implants.

Before

Close-up of a person's teeth showing discoloration, plaque buildup, and gum inflammation, with a gloved hand pointing to the lower gums.

After

Close-up of a person's teeth after dental treatment, showing clean, aligned, and white teeth. A gloved hand points to the lower gums.