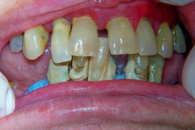
Full-Mouth Reconstruction

This patient’s smile was completely transformed through a full-mouth reconstruction that included a supported denture.

Before

A full-mouth reconstruction patient's before image

After

A full-mouth reconstruction patient's after image