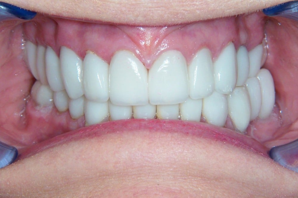
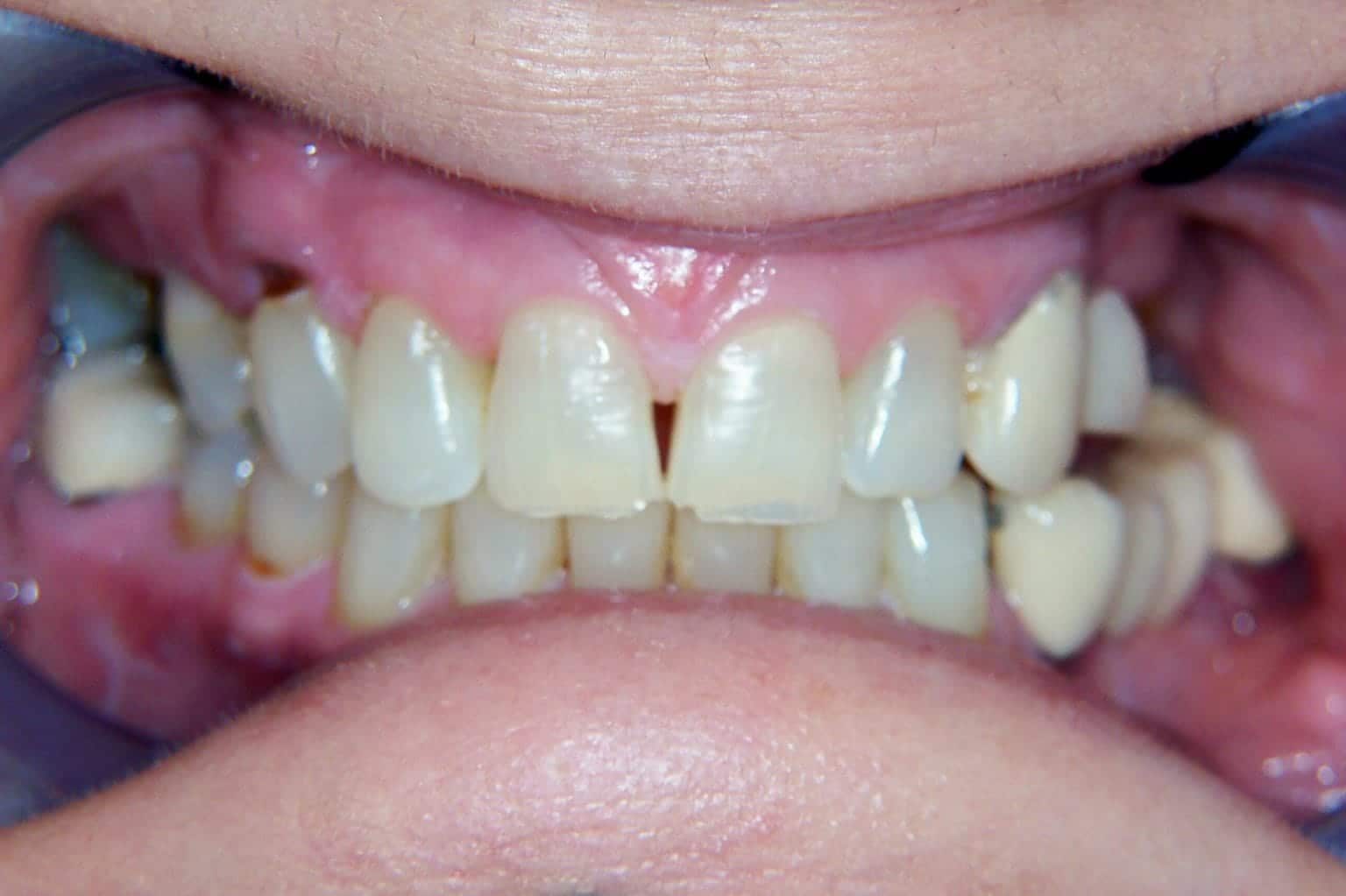
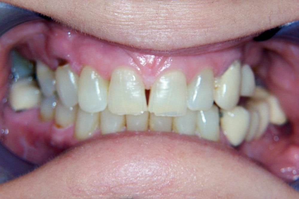
Full Mouth Reconstruction

Completed a full mouth reconstruction with dental crowns and veneers, and replaced missing teeth on upper left side with implants.

Before

Close-up of a person's teeth showing discoloration, misalignment, gaps, and signs of dental issues.

After

Close-up of a person's teeth after dental treatment, showing straight, white veneers or crowns.