Full-Mouth Reconstruction

This patient received a full-mouth reconstruction with neuromuscular bite correction, crowns, veneers, and dental implants.

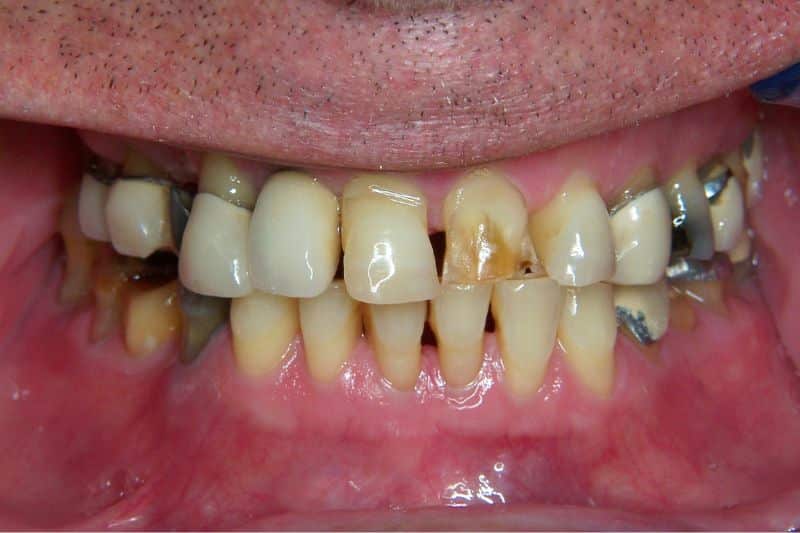
Before

A full-mouth reconstruction patient's before image

After

A full-mouth reconstruction patient's after image