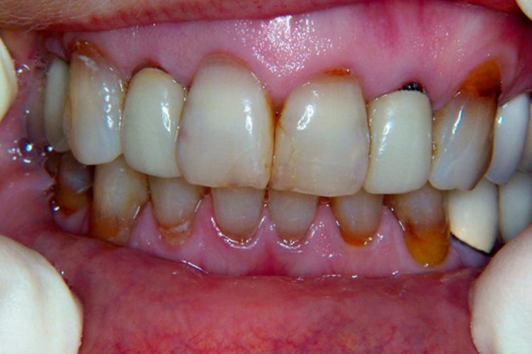
Full-Mouth RestorationThis patient received a full-mouth rehabilitation. Now, their smile is brighter with improved functionality.BeforeAfterPreviousNext